Before & After Smile Gallery
-
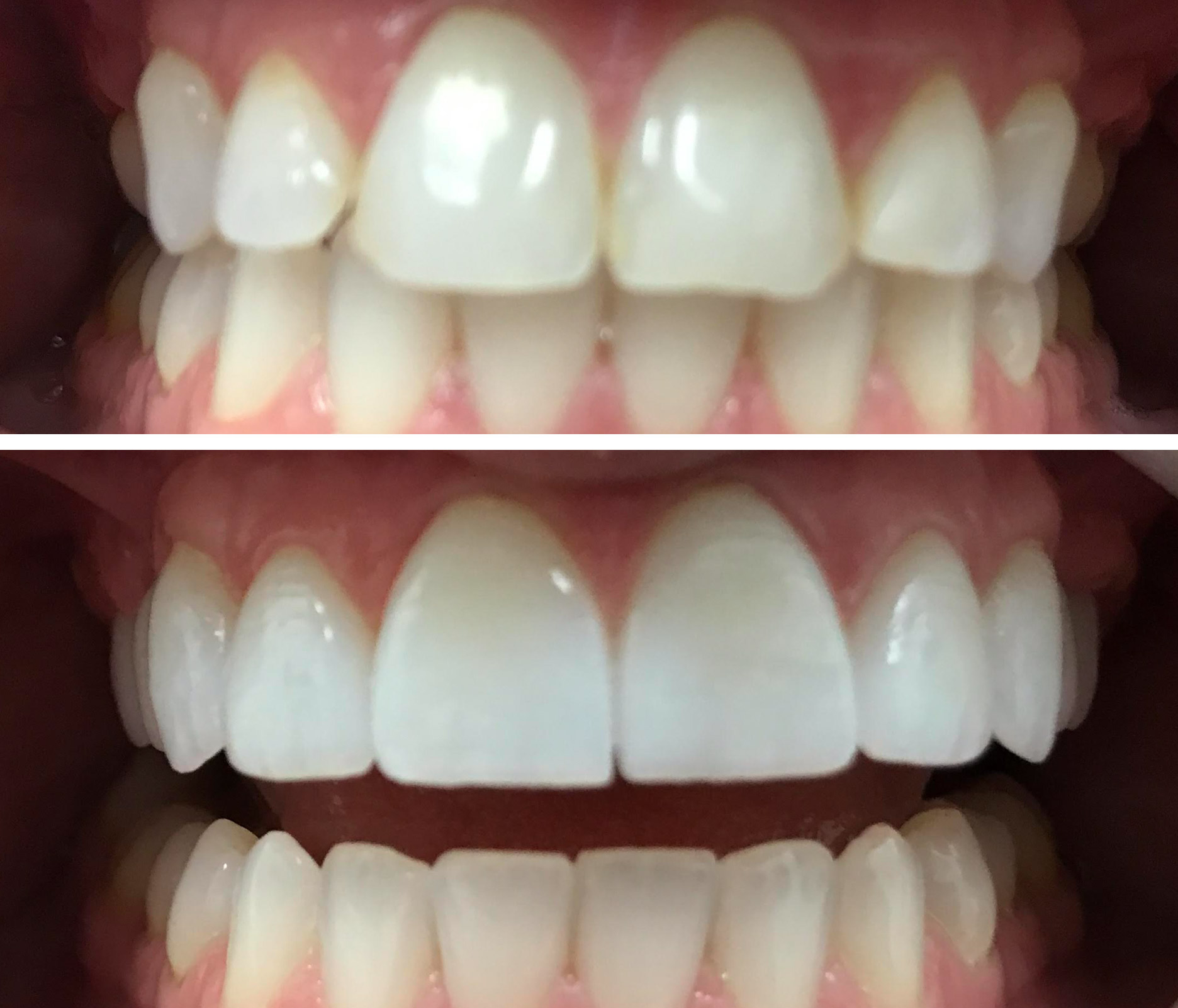
Porcelain Veneers
Read Treatment DescriptionOne of our favorite patients was looking to update her stained and worn front teeth. Porcelain veneers can rewind time while permanently changing the shape, size, and color of the front teeth… Now her smile matches the joy she brings to our office.
-
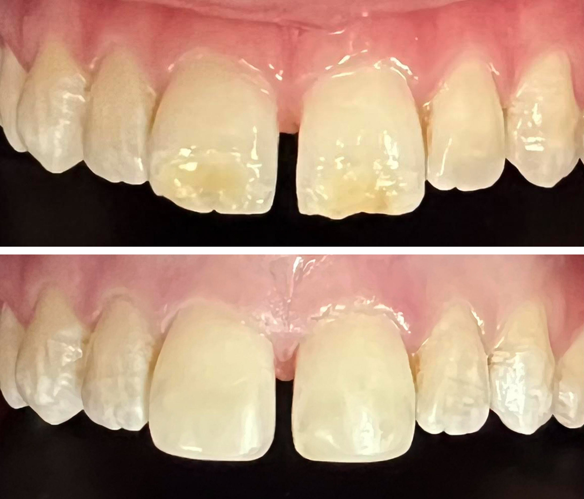
Porcelain Veneers
Read Treatment DescriptionThere nothing like a divorce to jumpstart a makeover! Our patient wanted to start Life 2.0 with a perfect smile... This was truly a marvelous transformation... one that gave her the confidence to get back in the game! Four veneers was all it took to close her spacing and create awesome symmetry. We redistributed the proportions to give this young lady the smile she’s always wanted.
-
Orthodontic Treatment & Veneers
Read Treatment DescriptionThis young lady was born without permanent upper lateral incisors. She’s missing two teeth, one on either side of her front two. As part of her orthodontic treatment, her canines were moved forward to try and close the space where the missing teeth should be... Unfortunately, this throws off the esthetics and makes her smile look narrow and irregular... Eight veneers and some gum sculpting later and she looks like a million bucks! What a smile-changing transformation!
-
Ceramic Crowns & Gum Sculpting
Read Treatment DescriptionIt’s incredible how destructive chewing on lemons can be... Our patient, one of our team member’s mom always felt embarrassed by her front teeth… The acid erosion was extensive but we were able to get her smiling again with four all ceramic crowns and some gum sculpting. What a brilliant transformation!
-
Ceramic Crowns & Resin Bonding
Read Treatment DescriptionIt sure was fun turning back the years for the this patient! He showed up at our office with some porcelain over metal crowns on his front two teeth that were done in the military decades ago. It was so fun replacing them with some all-ceramic crowns and some resin bonding on adjacent teeth… Talk about a transformation! He was positively pumped to show off his younger, more natural looking front teeth. This procedure took two visits and he couldn’t have been happier with the look.
-
Gum Contouring & Veneers
Read Treatment DescriptionOur patient in this case was unhappy about the discrepancy in the edges of her front teeth... some were round, others were straight. Using some gum contouring and six all-ceramic veneers, we crafted a more uniform smile that she was proud to show off. Our patient elected for IV sedation on this case so she slept through the whole thing! After test driving her temporaries for a few day, our lab created these wonderful restorations and a week or so later she was beaming!
-
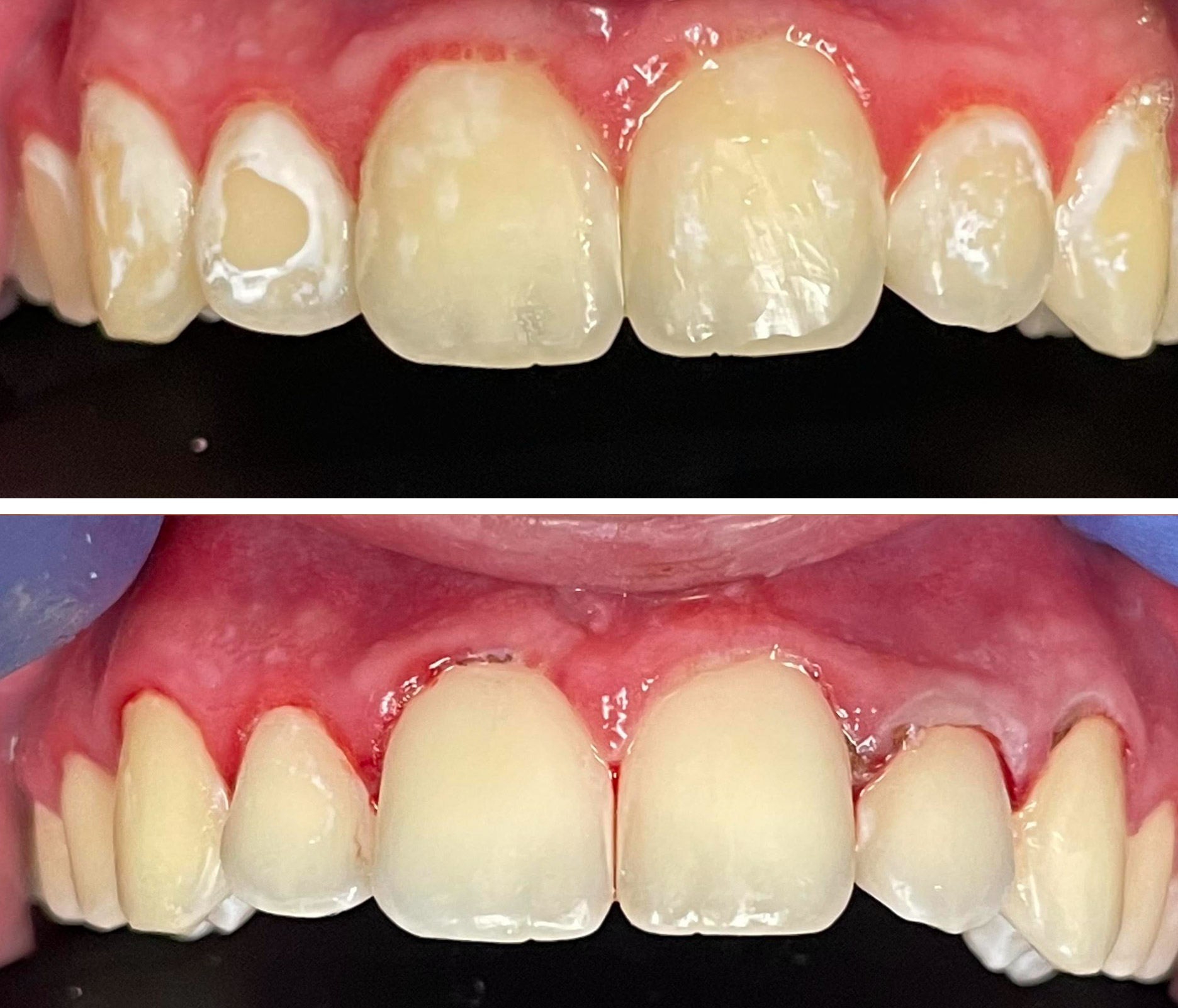
Gummy Smile Treatment
Read Treatment DescriptionOne of our favorite patients was unhappy with how irregular her gumline was around the front teeth. She was also bothered by how bumpy the bone was in between and around the front two. With the help of some sedation and a little bit of gum and bone contouring, we lengthened her smile and reduced the bumpy appearance. She is ecstatic with the result and would do it again in a heartbeat.
-
Gummy Smile Treatment
Read Treatment DescriptionThis young lady came to us complaining of a gummy smile. Her upper jaw over-erupted vertically leading to excessive gingival display. Using some digital impressions and some pre procedural lab work we were able to carefully modify the gums and bone around her front teeth in order for her to show more of her beautiful enamel. The after picture is two weeks post op and our patient reported very little discomfort while still healing.
-
Cosmetic Crown Lengthening
Read Treatment Description20 year old young lady who was unhappy with her gummy smile and short teeth. After we explained that she really has more beautiful tooth hiding beneath the gums and showed her some pictures of similar cases, she trusted us to perform cosmetic crown lengthening. Two weeks later with little to no pain her smile was bigger and bolder. The after picture was taken before full healing but Wow! what a difference!
-
Resin Bonding
Read Treatment DescriptionThis young man chipped his front tooth opening an amazon package. Twenty minutes later he was out the door and on with his day. We used resin bonding to restore the broken edge.
-
Resin Bonding
Read Treatment DescriptionThis young man had a job interview later in the day and needed a quick fix for the yellow spots on his front two teeth. Twenty minutes later we had him feeling more confident with some resin bonding. We didn’t even have to numb him up.
-
Treatment of White Spots
Read Treatment DescriptionThis case highlights the damage that can occur if you don’t brush well while in braces... The chalky white areas are permanent demineralization due to poor hygiene around the brackets. We utilize a no-shots, no-drilling system called ICON to infuse liquid filling material into the teeth nearly eliminating the white spot lesions. Mom couldn’t have been more excited to see the instant results.
-
Treatment of White Spots
Read Treatment DescriptionTraditionally there has not been a good way to treat white spot lesions without drilling away the discoloration and filling the teeth or placing veneers. Nowadays we have a wonderful product called Icon that opens the pores of the tooth and allows us to infiltrate the white spots with liquid filling material. The best part of this treatment is: no shots no drilling, no destroyed enamel. This treatment is especially effective immediately after braces for demineralized areas.
-
Gum Contouring & Ceramic Veneers
Read Treatment DescriptionOur patient in this case was unhappy about the discrepancy in the edges of her front teeth... some were round, others were straight. Using some gum contouring and six all-ceramic veneers, we crafted a more uniform smile that she was proud to show off. Our patient elected for IV sedation on this case so she slept through the whole thing! After test driving her temporaries for a few day, our lab created these wonderful restorations and a week or so later she was beaming!
-
Resin Bonding
Read Treatment DescriptionThis patient chipped the edge of one of his front teeth on a pistachio shell and came to us for help. While repairing the edge with some same-day resin bonding, we replaced the old resin on two others which had become yellow through the years. In and out in about an hour, he was looking fresh and a couple years younger.
-
Dental Bridge
Read Treatment DescriptionThis young man finished braces and was missing a permanent upper lateral incisor. With no shots, no numbing and no pain we crafted a Maryland bridge for him to replace the missing tooth. Thanks to our friends over at Rays Artistic Dental laboratory for the great work.
-
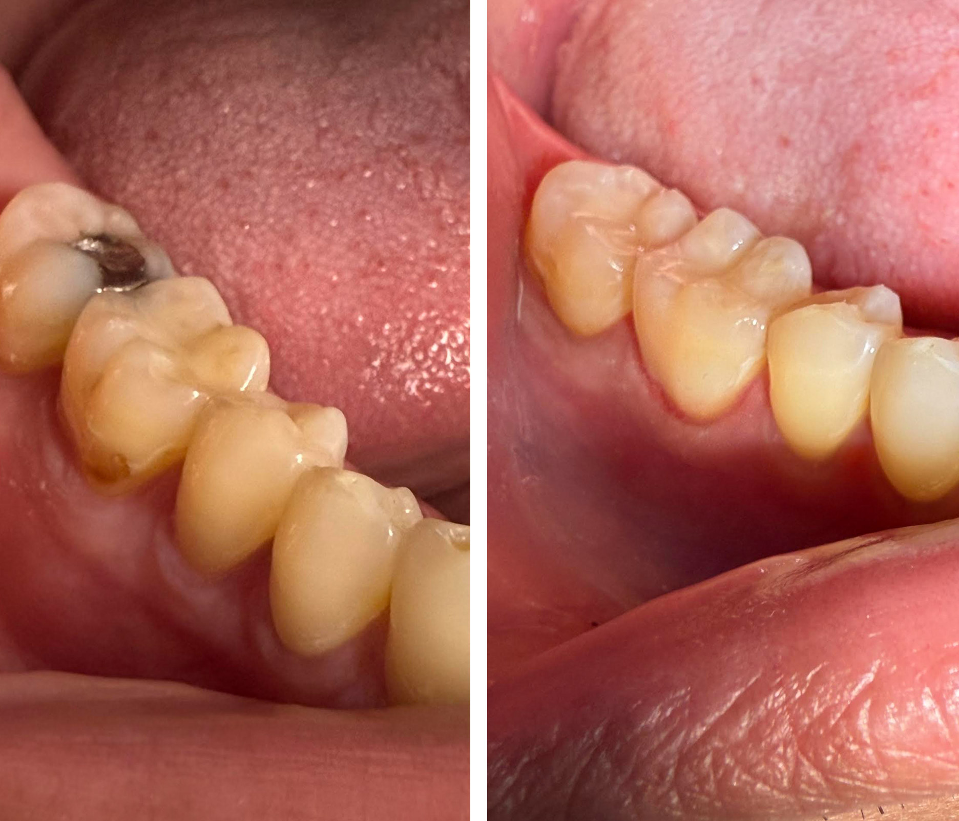
Silver Filling Replacement
Read Treatment DescriptionThis case is a simple amalgam (silver filling) replacement. Our patient didn’t like how her old filling showed up in pictures and was concerned about Mercury exposure so we removed the old filling and placed a new composite resin. In and out in around 30 minutes with a simple but effective upgrade… We also fixed a small cavity by the gumline of the tooth in front of the older one. Feel free to let us know if you would like to replace some older work at your next visit.
